Resumen
Introducción: el desplazamiento iatrogénico de los terceros molares y restos radiculares dentro del seno maxilar puede ser una complicación y está reportado en la literatura. Una fuerza excesiva apical y una técnica quirúrgica incorrecta son las causas más comunes de desplazamiento. El tratamiento aceptado para estos desplazamientos dentarios es su remoción para prevenir futuras infecciones. Objetivo: presentr aun caso clínico de un paciente con desplazamiento del 1.8 dentro del seno maxilar derecho que se sometió a un abordaje de Cadwell-Luc, para recuperar dientes o desplazadas al seno maxilar. Caso clínico: paciente de sexo masculino de 40 años de edad a quien remitieron al área de cirugía maxilofacial del Hospital Escuela Universitario (HEU), por presentar un desplazamiento del 1.8 dentro del seno maxilar derecho. Tratamiento: técnica de abordaje de Cadwell-Luc, para tener un apropiado acceso a la cavidad sinusal para retirar la porción ósea y realizar una perforación de membrana para obtener visión del órgano dentario desplazado y extraerlo. Resultados: a las dos semanas el equipo de cirugía maxilofacial valoró al paciente, quien no presentó sintomatología ni signos de infección de la herida, que cicatrizó sin complicaciones. Conclusiones: el abordaje Cadwell-Luc es seguro y confiable que se puede utilizar para recuperar dientes o raíces desplazadas al seno maxilar y puede hacerse bajo anestesia local. Es una cirugía muy común en la odontología y se necesita conocimiento especilizado para reslizarl.
Palabras clave: Desplazamiento, Tercer molar superior, Seno maxilar, Abordaje de Cadwell-Luc.
Introducción
El seno maxilar, también llamado antro de Highmore, forma parte de los senos paranasales. Es una cavidad neumática que tiene su origen en un pequeño divertículo medial situado a nivel del meato nasal medio de las fosas nasales. Se forma en el tercer mes de vida intrauterina y va adquiriendo forma y tamaño durante el crecimiento de la niñez. Tiene forma piramidal al principio no existe el piso, se va formando a medida que se desarrolla la dentadura y consigue su longitud total cuando el tercer molar alcanza su cierre apical.
Se encuentra tapizado por una membrana que recibe el nombre de Membrana de Schneider, que tiene la misma función y epitelio (epitelio pseudoestratificado, cilíndrico, ciliado), que el epitelio respiratorio.
El seno maxilar se encuentra irrigado de la siguiente manera:
- Arteria esfenopalatina (rama lateral): pared interna o base.
- Arteria maxilar interna (ramos antrales de la A. alveolar posterior): pared posterior y piso.
- Arteria infraorbitaria (ramos antrales de la A. alveolar anterior): pared anterior y piso.
La inervación corresponde a las siguientes estructuras:
- Nervio alveolar posterior y medio: pared posterior.
- Nervio alveolar anterosuperior: pared anterior.
- Nervio infraorbitario, pared superior y media: nervio palatino mayor, ostium y pared inferior.
- Nervio nasal superior: meato medio.
El desplazamiento de terceras molares al seno maxilar se puede deber a varias causas; como traumas y iatrogenias.
Tratamiento
El tratamiento aceptado para estos desplazamientos dentarios es su remoción para prevenir futuras infecciones.
Esta complicación, descrita en la literatura de cirugía oral, se puede tratar mediante un abordaje llamado Cadwell-Luc, que consiste en realizar una osteotomía de una porción ósea en la pared externa del seno maxilar, como en forma de ventana, que facilita la entrada al seno maxilar. (Fig. 1)
Fig 1. Reconstrucción volumétrica de una tomografía computarizada que muestra el desplazamiento de un tercer molar dentro del seno maxilar derecho.
Objetivo
Presentr aun caso clínico de un paciente con desplazamiento del 1.8 dentro del seno maxilar derecho que se sometió a un abordaje de Cadwell-Luc, para recuperar dientes o desplazadas al seno maxilar.
Caso clínico
Paciente de sexo masculino de 40 años de edad.
Motivo de la consulta
Remisión al área de cirugía maxilofacial del Hospital Escuela Universitario (HEU), por presentar un desplazamiento del 1.8 dentro del seno maxilar derecho.
Análisis radiográfico
Se tomó radiografía lateral que muestra el tercer molar desplazado. (Fig. 2)
Fig. 2. Radiografía panorámica.
Tratamiento
Procedimiento
- Se comenzó con la asepsia y antisepsia del paciente, posteriormente se aplicó anestesia local.
- Se realizó un colgajo trapezoidal con un mango y una hoja de bisturí número 15. (Fig. 3)
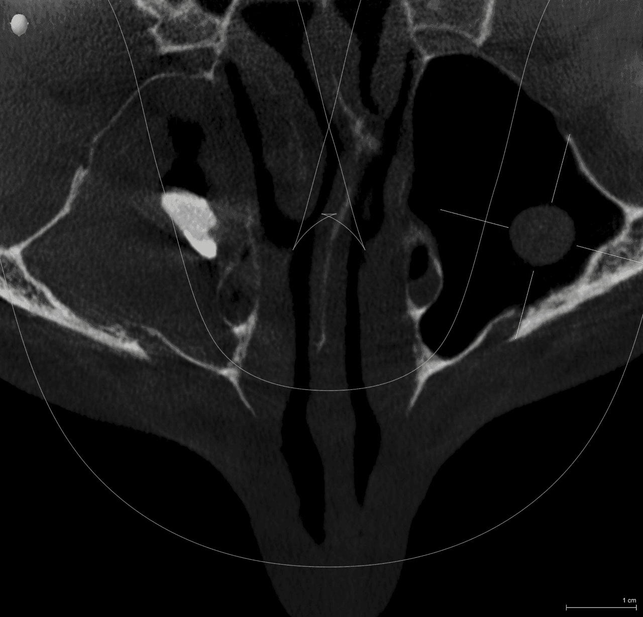
Fig. 3. Corte axial donde se puede apreciar el órgano dentario dentro del seno maxilar.
- Se reflejó el colgajo con un levanta periostio molt número 9 y se procedió a realizar el abordaje de Cadwell luc, mediante una pieza de mano de baja velocidad y una fresa quirúrgica #703. (Figs. 4 y 5)
Fig. 4. Inicio del procedimiento quirúrgico.
Fig. 5. Fotografía que muestra el colgajo de tipo trapezoidal.
- Se procedió a retirar la porción ósea con una pinza hemostática curva, con una tijera quirúrgica se realizó una perforación de membrana para obtener visión del órgano dentario desplazado. (Fig. 6)
Fig. 6. Se muestra la membrana de Schneider antes de ser perforada, esto es posible gracias al abordaje Cadwell-Luc.
- Con una pinza hemostática curva se procedió a realizar la extracción del órgano dentario desplazado. (Fig. 7)
Fig. 7. Imagen que muestra el órgano dentario desplazado dentro del seno maxilar.
- Luego de realizar la extracción, se procedió a reposicionar el colgajo, con un hilo de sutura vicryl 000. (Fig. 8)
Fig. 8. Reposicionamiento del colgajo con hilo de sutura 000 de vicryl.
- El paciente salió estable y consciente de la cirugía.
Resultados
Dos semanas después el equipo de cirugía maxilofacial valoró al paciente, quien no presentó sintomatología ni signos de infección de la herida. Se valoró los puntos de sutura y el estado de la herida, que cicatrizó sin complicaciones.(Fig. 9)
Fig. 9. Imagen que muestra la cicatrización del paciente 2 semanas después de la intervención quirúrgica.
Discusión
La proyección de un tercer molar al seno maxilar es una complicación transoperatoria que puede desencadenar procesos infecciosos como una sinusitis en el seno maxilar, edema y dolor, entre otras. La solución de las complicaciones que se presentaron en el caso clínico se planeó con el adecuado manejo imagenológico y quirúrgico, con el uso de la técnica CaldwellLuc, que permite un apropiado acceso a la cavidad sinusal.
Conclusión
El abordaje Cadwell-Luc es seguro y confiable que se puede utilizar para recuperar dientes o raíces desplazadas al seno maxilar y puede hacerse bajo anestesia local. Es una cirugía muy común en la odontología y se necesita conocimiento especilizado para reslizarla, de manera que el cirujano maxilofacial es quien debe hacerlo.
La falta de experiencia, conocimientos y auxiliares diagnósticos, como radiografías extraorales, en segunda o tercera dimensión es una causas para que esta situación se presente.
Autores
Dr. Hugo Romero
Cirujano Oral y Maxilofacial, Universidad Nacional Autónoma de Honduras.
Dra. Vilma Alejandra Umanzor Bonilla
Especialista en Periodoncia Universidad Nacional Autónoma de Honduras.
Mtra. María Elena Velázquez Romero
Cirujano Dentista, Universidad Westhill.
Dr. José Alberto Rodríguez Flores
Cirujano Oral y Maxilofacial, Universidad Westhill.










